Pankreas kanserinin erken teşhisindeki en büyük zorluklardan biri, hastalığın uzun süre belirti vermemesi ve görüntüleme yöntemlerinde genellikle ileri aşamalarda fark edilmesi. Ancak yeni bir araştırma, bu tabloyu kökten değiştirebilecek bir gelişmeye işaret ediyor. Geliştirilen bir yapay zeka sistemi, pankreas kanserini klinik tanıdan ortalama 475 gün önce tespit edebiliyor. Mayo Clinic ve iş ortakları tarafından geliştirilen modelin sonuçları, tıp dünyasının saygın dergilerinden Gut’ta yayımlandı. Çalışma, yapay zekanın rutin bilgisayarlı tomografi (BT) görüntülerinde insan gözünün fark edemediği ince değişimleri analiz ederek erken uyarı verebildiğini ortaya koyuyor.
Haberi okuduğunuz için teşekkürler, bizi takip etmeyi unutmayın!
Erken teşhis hayatları kurtarabilir
Pankreas kanseri, erken evrelerde tespit edilmesinin zor olması nedeniyle en ölümcül kanser türlerinden biri olarak biliniyor. Vakaların yüzde 85’inden fazlası ileri evrede teşhis ediliyor ve bu aşamada tedavi çoğunlukla yalnızca semptomları hafifletmeye odaklanıyor. Bu nedenle küresel ölçekte beş yıllık sağkalım oranı yaklaşık yüzde 10 seviyesinde kalıyor.
Araştırmacılar, yapay zekanın sunduğu bu erken tespit süresinin hayati önem taşıdığına dikkat çekiyor. Tanı zamanının öne çekilmesi, cerrahi müdahale ve küratif tedavi şansını ciddi ölçüde artırabilir. Modelle yapılan simülasyonlara göre erken evrede yakalanan pankreas kanseri oranının yüzde 10’dan yüzde 50’ye çıkarılması durumunda sağkalım oranlarının iki kattan fazla artabileceği öngörülüyor.
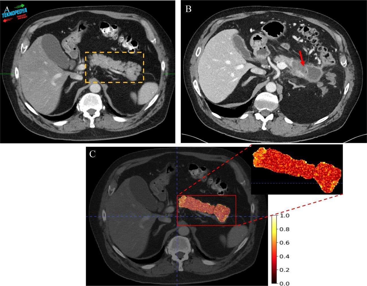
Sistemin adı REDMOD
Araştırmada kullanılan yapay zeka sistemi “REDMOD” olarak adlandırılıyor. Bu model, standart BT taramalarında yer alan ancak radyologlar tarafından fark edilmesi zor olan mikroskobik desenleri analiz ediyor. Sistem, 1.400’den fazla bireyin görüntüleriyle eğitildi ve test edildi. Bu veri seti içinde, daha önce normal olarak değerlendirilen taramalara sahip ancak sonradan pankreas kanseri teşhisi konan 219 hasta da yer aldı. Yapılan karşılaştırmalarda yapay zekanın performansı dikkat çekici seviyede yüksek çıktı. Redmod, vakaların yüzde 73’ünü doğru şekilde tespit ederken aynı görüntüleri inceleyen radyologların başarı oranı yüzde 39’da kaldı. Tanıdan iki yıldan daha uzun süre önce çekilmiş görüntülerde ise fark daha da belirginleşiyor. Yapay zeka, yüzde 68 doğruluk sağlarken uzmanların oranı yüzde 23’te kaldı.
Modelin başarısı farklı hastaneler ve farklı görüntüleme cihazları arasında da tutarlılık gösterdi. Ayrıca, kanser gelişmeyen bireylerin taramalarının yüzde 80’den fazlasını doğru şekilde “negatif” olarak sınıflandırması sistemin yanlış alarm oranının da kontrol altında olduğunu ortaya koydu.
Klinik kullanım için henüz erken
Araştırmacılar, bu tür bir teknolojinin özellikle risk grubundaki bireylerin belirlenmesinde önemli rol oynayabileceğini vurguluyor. Örneğin, açıklanamayan kilo kaybı yaşayan ileri yaştaki bireyler veya yeni diyabet tanısı alan hastalar, yapay zeka tarafından daha yakından izlenmesi gereken gruplar olarak işaretlenebilir.
Bununla birlikte, sistemin rutin klinik kullanıma girmesi için henüz daha fazla doğrulama çalışmasına ihtiyaç duyuluyor. Özellikle gerçek dünya tarama programlarında bu teknolojinin hastaların yaşam süresi ve tedavi başarısı üzerindeki etkisinin net biçimde ortaya konması gerekiyor. Yine de elde edilen bulgular, pankreas kanserinin teşhisinde köklü bir değişimin habercisi olabilir.







